Veneers

Veneers sind hauchdünne Keramikschalen. Sie bieten eine sehr gute Möglichkeit, Frontzähne ästhetisch ansprechend aufzubauen.
Restauration verkürzter Frontzähne
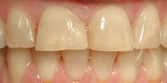
Die Bilder zeigen abgeschliffene Frontzähne bei einer 50-jährigen Patientin, die mit fünf Veneers restauriert wurden. Die folgenden Bilder veranschaulichen Möglichkeiten und Grenzen moderner Zahnheilkunde. Voraussetzung für gute Ergebnisse sind eine sorgfältige Behandlungsplanung sowie eine gute Mitarbeit des Patienten.
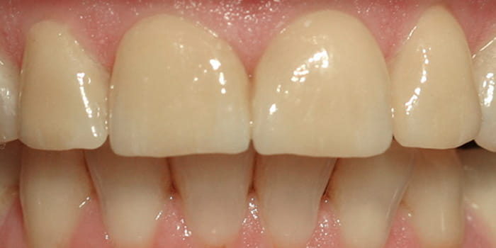
Veneers vorher
Durch Knirschen und Pressen verkürzte Frontzähne.
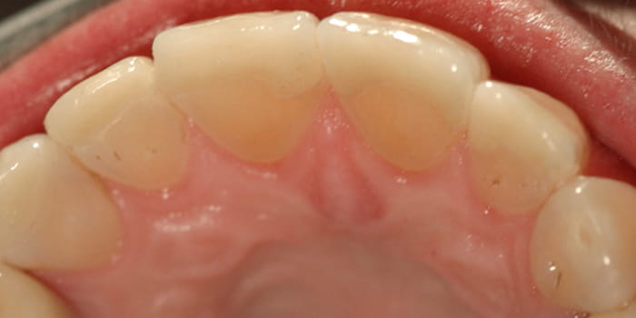
Veneers innen
Eingesetzte Keramikschalen. Auf der Innenseite erfolgte keine Präparation.
Veneers nachher
Das Behandlungsergebnis
Ästhetik und Funktion im Einklang
Für jeden Patienten wird je nach Befund und Diagnose ein Behandlungsplan entwickelt, der präzise die Funktion und Ästhetik der Zähne in Einklang bringt. Dabei werden unter Berücksichtigung der individuellen Wünsche verschiedene Behandlungsalternativen mit Vor- und Nachteilen erläutert, so dass Sie sich für Ihre bevorzugte Lösung entscheiden können.
Anwendung: Frontzahnbereich
Aufwand: mittel bis hoch
Ästhetik: sehr gut
Haltbarkeit: 15-20 Jahre
Labor: ja
© Zahnarztpraxis Dr. Peter Galler
chevron-down