Implantologie

Nach Zahnverlust bietet die Implantologie eine besonders komfortable und hochwertige Lösung, um eigene Zähne zu ersetzen. Als Werkstoff wird meist biologisch optimal verträgliches Titan verwendet. Bei sorgfältiger Planung und Umsetzung sind Implantate häufig ein sehr guter Ersatz, der kaum vom natürlichen Zahn zu unterscheiden ist.
Was ist ein Zahnimplantat?
Zahnimplantate bestehen in der Regel aus Titan und werden sorgfältig im Kieferknochen eingeschraubt. Nach drei Monaten Einheilphase sind Implantate fest im Knochen verankert und können belastet werden. (vgl. Abbildung). Die künstliche Zahnwurzel (Implantat) ermöglicht es, Kronen, Brücken oder Elemente zur Verankerung von Prothesen und Epithesen langfristig zu befestigen.
Zahnimplantat
1. Natürlicher Zahn  2. Zahnimplantat  3. Zahnkrone
Beispiel aus der Praxis
Implantat-roentgen
Implantat nach 3-monatiger Einheilphase
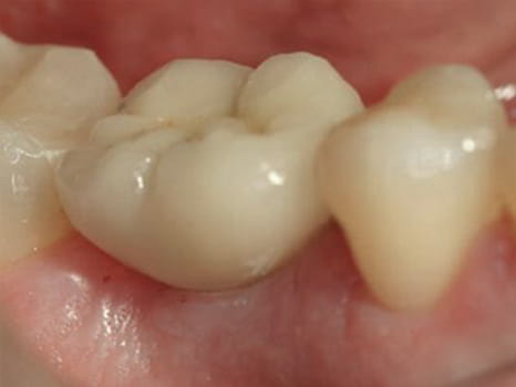
Implantat-vorher
Situation im Mund vor...
Implantat-nachher
...und nach Eingliederung im Mund
Zahntechnische Maßarbeit in der eigenen Praxis
Unser hauseigenes Dentallabor verfügt über sämtliche Materialien und Apparate, um Kronen, Inlays und weiteren Zahnersatz in bester Qualität herzustellen - aus Kunststoff, Keramik, Kompositen und Metall. Dabei greift unser Zahntechniker neben der bewährten Guss- und Presstechnik auch auf moderne computergestützte Formgebung (CAD) und Fertigung (CAM) zurück.
Anwendung: Fehlende Zähne
Aufwand: hoch bis sehr hoch
Ästhetik: gut bis sehr gut
Haltbarkeit: 15 Jahre und länger
Labor: ja
© Zahnarztpraxis Dr. Peter Galler
chevron-down