Frontzahnumgestaltung

Die Frontzahnumgestaltung ist eine moderne Form der ästhetischen Zahnmedizin und dient der gezielten Verschönerung der sichtbaren Frontzähne. Ziel ist ein natürlich wirkendes, harmonisches Lächeln, das zu Ihrem Gesicht und Ihrer Persönlichkeit passt.

In unserer Praxis setzen wir auf minimalinvasive Methoden, um Form, Farbe und Stellung der Frontzähne schonend zu optimieren. Je nach individueller Situation kommen hochwertiges Komposit-Bonding oder langlebige Keramikveneers zum Einsatz. Damit lassen sich unter anderem verfärbte Zähne, kleine Zahnlücken, ungleichmäßige Zahnformen, abgebrochene Kanten oder leichte Fehlstellungen ästhetisch korrigieren.

Ein zentraler Bestandteil der Frontzahnumgestaltung ist die individuelle Planung. Nach einer ausführlichen Beratung und ästhetischen Analyse entwickeln wir ein maßgeschneidertes Behandlungskonzept. Dabei steht der Erhalt der natürlichen Zahnsubstanz stets im Vordergrund.
Beispiele aus der Praxis
Frontzahnumgestaltung
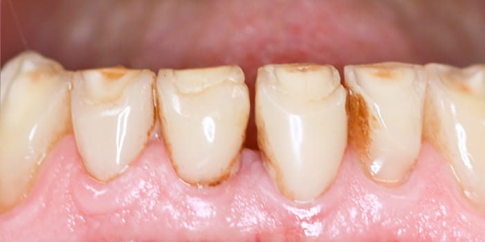
Frontzahnumgesaltung - vorher
Ausgangssituation
Frontzahnumgesaltung - nachher
Behandlungsergebnis
Frontzahnumgestaltung
Frontzahnumgesaltung-vorher
Ausgangssituation
Frontzahnumgesaltung-nachher
Behandlungsergebnis
„Für jeden Patienten wird je nach Befund und Diagnose ein Behandlungsplan entwickelt, der präzise die Funktion und Ästhetik der Zähne in Einklang bringt. Dabei werden unter Berücksichtigung der individuellen Wünsche verschiedene Behandlungsalternativen mit Vor- und Nachteilen erläutert, so dass Sie sich für Ihre bevorzugte Lösung entscheiden können."
© Zahnarztpraxis Dr. Peter Galler
chevron-down