Moderne Prophylaxe

Um Zahn- oder Zahnfleischerkrankungen schon im Anfangsstadium zu erkennen und zu heilen, ist es empfehlenswert, zweimal jährlich einen kurzen Kontrolltermin wahrzunehmen. Dabei ist es möglich, Erkrankungen im Anfangsstadium zu erkennen und diese häufig durch minimal invasive Therapiemaßnahmen zu heilen oder zu stoppen. Ziel und Anspruch des präventiven Konzepts unserer Praxis ist es, aufwendigen Behandlungen vorzubeugen und ein Leben lang Ihre gesunden Zähne zu erhalten.
Professionelle Zahnreinigung
Ein wichtiger Baustein unseres Prophylaxekonzepts ist die Professionelle Zahnreinigung.

Art und Umfang einer professionellen Zahnreinigung richten sich nach dem Behandlungsbedarf des jeweiligen Patienten. Eine PZR beinhaltet eine Beurteilung und Bestandsaufnahme der Zahn- und Zahnfleischgesundheit des Patienten. Bei Bedarf werden Empfehlungen zur Verbesserung der regelmäßigen häuslichen Mundhygiene gegeben und eingeübt.

Die Reinigung besteht aus der Beseitigung aller weichen und harten Beläge sowie der Entfernung von Verfärbungen (z.B. Kaffee-, Tee- oder Nikotinflecken) mit Spezialgeräten, die sich durch eigene Reinigung und Pflege nicht entfernen lassen. Anschließend werden die Zähne mit Flouridpolierpasten gehärtet und geglättet.

Durch eine regelmäßige professionelle Zahnreinigung (zweimal jährlich) kann das Risiko, an Karies oder Parodontitis zu erkranken, erheblich gesenkt werden. Bei Parodontitispatienten ist eine regelmäßige PZR (drei bis sechs Monate ) unbedingt notwendig.
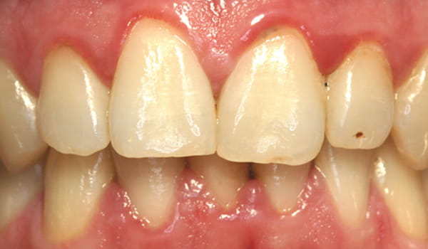
Vor der PZR
Vor der PZR
Das Zahnfleisch im Frontbereich ist entzündet. Deutlich erkennbar sind Zahnstein sowie Beläge auf den Zähnen.
Nach der PZR
Nach der PZR
Zwei Wochen nach der professionellen Zahnreinigung in unserer Praxis ist die Entzündung des Zahnfleischs verheilt und die Zähne haben nach erfolgreicher Politur und Reinigung wieder ihre ursprüngliche, ästhetische Farbe.
© Zahnarztpraxis Dr. Peter Galler
chevron-down