Parodontologie

Eine Parodontitis ist eine Entzündung des Zahnhalteapparates. Ursache sind auf dem Zahn in klebrigen Belägen lebende Mikroorganismen, die im Laufe der Zeit der Wurzel des Zahns entlang immer tiefer in das Zahnfleisch eindringen können.
Dabei wird das Gewebe, das den Zahn fest im Knochen verankert, zerstört. Im Endstadium wird der Zahn locker und muss letztendlich entfernt werden.
Je nach Veranlagung des Patienten schreitet die Erkrankung mehr oder weniger schnell fort. In den meisten Fällen dauert der Krankheitsverlauf Jahrzehnte. Allerdings gibt es auch sehr aggressive Verlaufsformen der Parodontitis, wo auch junge Patienten innerhalb weniger Monate einen massiven Gewebsverlust erleiden.
Wie wird Parodontose behandelt?
Zu Beginn einer Parodontalbehandlung steht die Hygienephase. Dabei wird ein optimaler Gebrauch der Zahnbürste sowie geeigneter Hilfsmittel wie Zahnseide und Zahnzwischenraumbürstchen eingeübt. Danach erfolgt eine professionelle Zahnreinigung mit Entfernung aller zugänglichen harten und weichen bakteriellen Ablagerungen.

Nach dieser Vorbehandlung ist die Entzündung in den meisten Fällen bereits deutlich reduziert. Bei entzündeten Resttaschen von mehr als drei Milimeter Sondierungstiefe erfolgt dann eine systematische Reinigung der schwer zugänglichen tiefer liegenden bakteriell belasteten Wurzeloberflächen. Dabei werden bei tiefen Taschen von 6 mm und mehr auch chirurgisch das Zahnfleisch vorsichtig geöffnet, um die Wurzeln unter Sicht sorgfältig reinigen zu können.

In manchen therapieresistenten Fällen sind Antibiotika hilfreich. Dafür gibt es mikrobiologische Testverfahren, um geeignete Antibiotikakombinationen zu ermitteln. Bei einzelnen tiefen Knochentaschen können regenerative Maßnahmen zum Auffüllen der Knochendefekte mit Eigenknochen oder Knochenersatzstoffen angewendet werden.
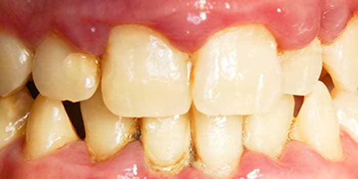
Vor der PZR
Behandlungsbeginn 2009
Der 30jährige Patient leidet an einer hochentzündlich Parodontis.
Das Zahnfleisch ist geschwollen und blutet beim Putzen. Ursache sind eine genetische Veranlagung, starke Zahnsteinentwicklung und eine unzureichende Mundhygiene.
Nach der PZR
Behandlungsergebnis 2020
Deutlich verbesserte parodontale Situation mit gesundem Zahnfleisch. Der Behandlungserfolg war nur durch mehrere Pa-Behandlungen, deutlich verbesserte Mundhygiene des motivierten Patienten und regelmäßige professionelle Zahnreinigung vier mal jährlich möglich.
Mit der einmaligen Parodontalbehandlung ist der Behandlungserfolg leider nicht gesichert. Deshalb ist in vielen Fällen alle 3-6 Monate eine parodontale Erhaltungstherapie erforderlich.
© Zahnarztpraxis Dr. Peter Galler
chevron-down