Brücken

Durch Brücken kann man fehlende Zähne ästhetisch und dauerhaft ersetzen. In der Regel merkt der Patient keinen Unterschied zu seinen eigenen Zähnen. An Materialien stehen sowohl die Metallkeramik als auch Vollkeramiksysteme zur Verfügung.

Ein Nachteil von Brücken ist, dass an den Nachbarzähnen durch die Präparation Zahnsubstanz geopfert werden muss. Alternativ kann eine Implantatversorgung in Betracht gezogen werden.
Beispiele aus der Praxis
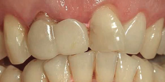
Brücke im Frontzahnbereich
Brücke2-vorher
Ausgangssituation
Brücke2-nachher
Behandlungsergebnis
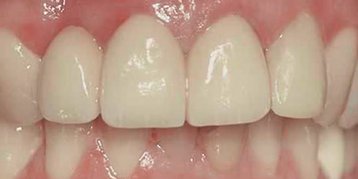
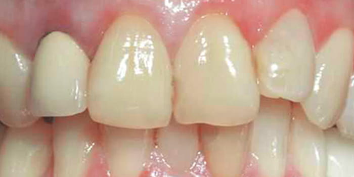
Brücke im Frontzahnbereich
Brücke1-vorher
Ausgangssituation
Brücke1-nachher
Behandlungsergebnis
Implantatgetragene Brücke - Animation
Zahntechnische Maßarbeit in der eigenen Praxis
Ästhetisch ansprechender Zahnersatz aus Keramik gehört zu unseren Spezialgebieten. Unser Zahntechniker arbeitet mit viel Expertise, hohem qualitativen Verständnis und Liebe zum Detail.
Anwendung: Fehlende Zähne
Aufwand: hoch bis sehr hoch
Ästhetik: gut bis sehr gut
Haltbarkeit: 20 Jahre
Labor: ja
© Zahnarztpraxis Dr. Peter Galler
chevron-down