Kunstoffrestauration

Die Kompositfüllung ist die Basisversorgung für kleine und mittelgroße Zahndefekte.

Die von uns verwendeten Materialien sind besonders abriebfest und halten einer hohen mechanischen Belastung stand. Mit einer aufwändigen Technik wird die Füllung in kleinen Portionen in den Defekt eingebracht und mit dem Zahn verklebt. Um eine gute Form zu den Nachbarzähnen zu erreichen, ist eine spezielle Matrizentechnik notwendig.
Adhäsive Füllungstechnik im Seitenzahngebiet
Kariöser Zahnsubstanzverlußt wird durch moderne Kompositfüllungen ersetzt.
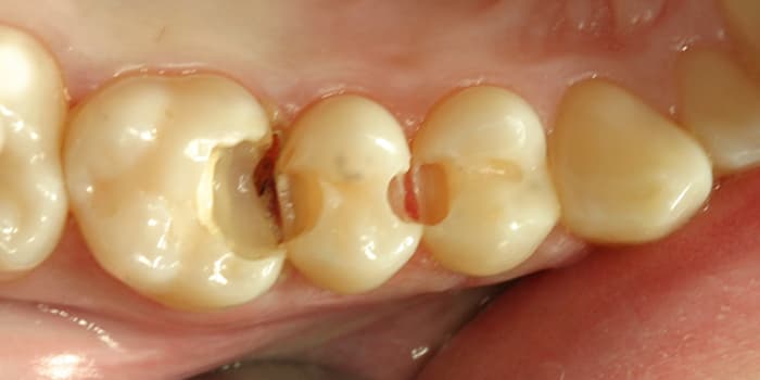
Kompositfüllung Seitenzahn - vorher
Ausgangssituation
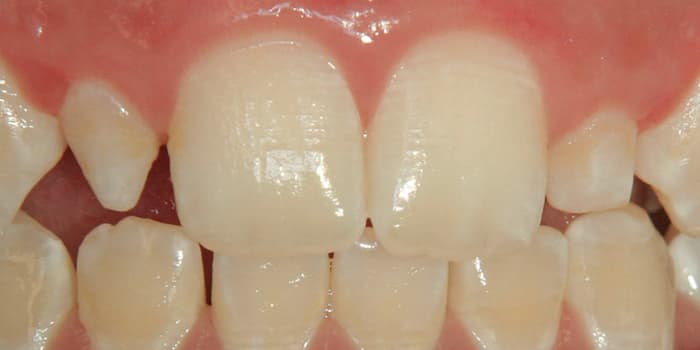
Kompositfüllung Seitenzahn - nachher
Behandlungsergebnis
Adhäsivtechnik
Durch moderne Adhäsivtechnik lassen sich Zähne minimalinvasiv ästhetisch rekonstruieren.
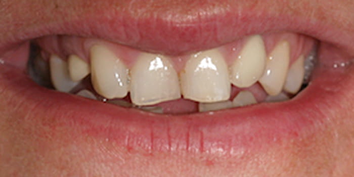
Adhäsivtechnik vorher
Zähne eines 13-jährigen Mädchens bei dem eine Fehlbildung eines seitlichen Schneidezahns vorliegt.
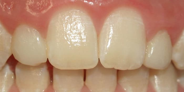
Adhäsivtechnik nachher
Ziel war es, ein ästhetisch langfristig funktionsfähiges Ergebnis zu erreichen. Der restaurativen Zahn nach sechs Jahren.
Komposittechnik
Bei der Patientin lag unter anderem durch Zahnnichtanlagen eine asymmetrische, ästhetisch unbefriedigende Frontzahnstellung vor. Die Ästhetik wurde durch Harmonisierung der Frontzähne durch adhäsive Komposittechnik und im Unterkiefer durch eine Klebebrücke deutlich verbessert. Solch große Arbeiten sind allerdings sehr umfangreich und zeitintensiv und gehen an die Grenzen der Technik für direkte Restaurationen.
Komposittechnik vorher
Ausgangssituation
Komposittechnik nachher
Behandlungsergebnis
Ästhetik und Funktion im Einklang
Für jeden Patienten wird je nach Befund und Diagnose ein Behandlungsplan entwickelt, der präzise die Funktion und Ästhetik der Zähne in Einklang bringt. Dabei werden unter Berücksichtigung der individuellen Wünsche verschiedene Behandlungsalternativen mit Vor- und Nachteilen erläutert, so dass Sie sich für Ihre bevorzugte Lösung entscheiden können.
Anwendung: für kleine und mittlere Defekte, seltener für große Defekte
Aufwand: mittel bis hoch
Ästhetik: gut
Haltbarkeit: gut (sehr gute Reparaturmöglichkeit)
Labor: nein
© Zahnarztpraxis Dr. Peter Galler
chevron-down